矯正治療の開始時期は、人それぞれ異なります。年齢に関係なく、成人の方でも矯正治療は可能です。

初診・相談検査・診断


実際に歯並びを確認しながら、治療の流れをお話いたします。その後、検査を行い、治療方針を決定します。

治療


決定した治療方法にあわせて治療を開始いたします。通院は、基本的に月1回です。

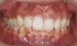
治療後の観察


治療の装置を外して、動かした歯が戻らないように保定装置(リテーナー)を用いて経過観察します。

歯並びが悪いと・・・


  • 1
    咬み合せが悪いために食べ物を食べる効率が落ちることがある
  • 2
    むし歯や歯肉炎、歯周病になりやすい
  • 3
    発音がしにくい
  • 4
    口が閉じづらい原因となる場合がある
  • 5
    成長期のお子さまでは、あごや顔面の成長に悪い影響をあたえることがある
  • 6
    見た目が気になる

などの問題が起こります。あごの骨に問題がある場合には、永久歯の前歯が交換する頃(5〜7歳頃〉に治療を開始することが多くなっています。それ以前でも受け口などでは早期に治療することがあります。それ以降、歯並びが悪いことに気づいた、歯並びが悪くなったと思われる場合はいつでも治療が可能です。不正咬合(悪い歯並び)には様々な原因があることや個人差がありますので、一度ご相談ください。

なぜ歯並びが悪くなるのか?


現代人は軟らかい食べ物を多く食べ、昔のように硬い食べ物を多く食べる事が少なくなっています。よって、あごの骨の発育が悪くなりあごが小さくなる傾向にあります。しかしながら、歯の大きさや本数は変わらないことが多くこのギャップが歯並びを悪くしている原因の一つとして知られています。その他の主な原因として・・・ 

  • 1
     成長によるあごの前後的な位置の違いが生じた場合
  • 2
    むし歯や歯肉炎、歯周病によって歯が動いてしまった場合
  • 3
    くちびるや頬や舌の力のバランスが悪い場合
  • 4
    遺伝的な要因

などが挙げられます。原因を知ることは治療の方法を決める上で大切なことですので、担当医にいつごろから、どのように歯並びが悪いことに気づいたかお知らせください。

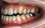
主な不正咬合の種類 


このほかにも様々な不正咬合があります。

気になるところがある場合はすぐにご相談ください。

上顎前突150.jpg

 

→上顎前突 (出っ歯)

      

開校150.jpg

 →開校
(上下の歯があたらない)→下顎前突(受け口)

叢生150.jpg

→空隙歯列 (すきっ歯)→叢生
 (でこぼこ、八重歯)

過蓋咬合150.jpg

→過蓋咬合
(下の歯が見えない)

子供の矯正治療(第一期治療)
拡大床150.jpg

ネジ付きプレート
(あごの幅を拡大)

乳歯~永久歯の生え変わりの時期(~12歳頃まで) 
FKO150.jpg

下あごの成長をうながす装置

主に取り外し可能な装置を用いて、生え始めた永久歯が適切な位置に生えるように促します。あごの成長の観察やコントロールもあわせて行います。治療期間は永久歯に生え変わるまでで、あごの大きさや、歯の大きさ、位置に問題がある場合は大人の矯正治療(第二期治療)へ移行します。

大人の矯正治療 (第二期治療)
ブラケットマルチ150.jpg

マルチブラケット

永久歯の矯正治療(12歳以降から) 
リテーナー150.jpg

リテーナー

マルチブラケット装置による治療です。(一本ごとの歯にブラケットを装着し、ワイヤーを通して歯並びを治します。)

治療期間は、個人差もありますが1年半~3年が目安です。その後、ワイヤーで治した歯並びを維持するための保定装置での観察を2年ほど行います。

 その他の矯正治療 永久歯の矯正治療のオプションのご紹介

インプラントアンカー150.jpg

インプラント(骨ネジ)

MTM(部分矯正)

 補綴治療(ブリッジや入れ歯)を行うときに倒れている歯をおこしたり、スキ間を減らすことで残っている歯を有効的に使うことができるようにする治療です。また、わずかなでこぼこのみを治したい場合も有効です。

舌側矯正装置150.jpg

 舌側矯正装置

インプラント矯正(大人の矯正治療、MTMと併用)

 歯の移動量が大きい、引き合う歯が無い、歯を骨の方向に入れる量が大きい場合などに用います。診断の際に担当医が治療上必要であると判断した場合にお勧めします。

マウスピース150.jpg

マウスピース

見えない矯正治療

 マウスピースや歯の裏側からつけるブラケット(舌側矯正)などにより装置の見た目が分からないようにして行う治療もあります。適応症、治療費が患者さん、治療方法ごとに異なりますので一度ご相談下さい。

歯科矯正治療は、噛み合わせの改善を主な目的としています。

しかしながら、一般的には見た目の問題を相談される機会が多いことも事実です。

当医院では、見た目の美しさばかりでなくしっかりとした噛み合わせを目指した治療はもとより、歯並びの悪さが原因となるむし歯や歯周病のリスクを減らすことや、口元の美しさを追求することに力を入れています。また、矯正治療終了後のむし歯や歯周病の予防などを含めたメインテナンスも行っています

成長期のお子様では、あごの発育も注意深く観察して、正しい発育を誘導します。

お問合せ・ご相談はこちら

受付時間:午前 9:30~12:30
午後 15:00~19:30
急患、新患の方も随時受付中です
定休日:日・祝日

埼玉県飯能市緑町の歯医者 みどり歯科クリニックです。
当院は、小児歯科をはじめ歯周病治療・インプラント・矯正・ホワイトニング・審美歯科、定期健診に力を注いでいます。 お気軽にご相談、お問い合わせ下さい。

パソコン|モバイル
ページトップに戻る